КАК ПРОИСХОДИТ САНАЦИЯ РОТОВОЙ ПОЛОСТИ
1. К согласованному времени владелец привозит своего питомца в клинику. Доктор осматривает пациента, измеряет температуру, проводит аускультацию сердца и легких, оценивает готовность пациента к введению в анестезию (напомним, что некоторые животные заранее проходят дополнительную диагностику). Если никаких противопоказаний не обнаружено, пациент берется в работу.

2. Только после того, как Ваш питомец погрузился в сон, не испытывает страха и боли, возможны дальнейшие манипуляции. Уже в операционной проводится качественный осмотр ротовой полости и пародонтальное зондирование в области каждого зуба. На простом приеме, без седации, допускается только первичная, приблизительная оценка состояния. Все нюансы и точные диагнозы определяются в ходе работы.


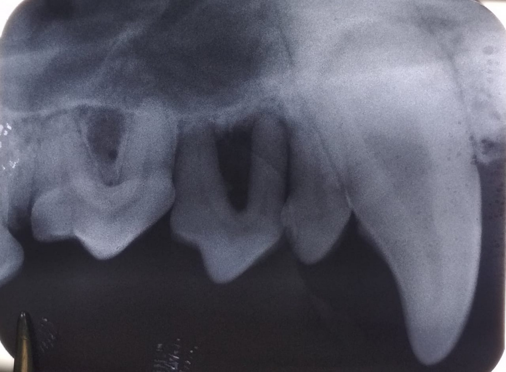
3. Далее выполняется интраоральная рентгенография, необходимая для оценки состояния корней, костных структур, периодонтальной связки и т.д.


4. Если в процессе диагностики обнаружены дополнительные проблемы, не обсуждаемые предварительно с владельцем, доктор позвонит для согласования дальнейших действий.
5. Следующий этап – удаление твердых зубных отложений. Проводится посредством ультразвукового скейлинга. При необходимости дополняется механической чисткой (например, обширные образования зубного камня или обработка фиссур).
6. Экстракция нежизнеспособных зубов. Для удаления двух- и трехкорневых зубов у плотоядных в большинстве случаев необходимо выполнять сепарацию коронки (разрезание коронки на соответствующее количество сегментов). В противном случае имеется высокий риск перелома корней и оставления их фрагментов в лунке. Для данной манипуляции используется турбинный наконечник стоматологической установки и специальные твердосплавные боры. На слизистую десны после удаления обязательно накладываются швы. Это позволяет избежать возможных осложнений.

7. Обязательная процедура – шлифовка и полировка зубов. Она позволяет добиться максимально гладкой поверхности эмали и, соответственно, более стойкого длительного эффекта. Для этой цели применяется микромоторный наконечник с насадками в виде щеточек и полировочных чашечек, а также специальные стоматологические пасты.

8. Завершающий этап – обработка ротовой полости антисептиком, выведение пациента из анестезии, послеоперационный мониторинг, встреча с владельцами, выдача рекомендаций.
9. Если владельцы задерживаются, пациенты могут лично проверить правильность заполнения своих историй болезни!
Ветеринарный врач Кряжева Наталья Валерьевна.